Down for the count for a couple months

  • Some of the links on this forum allow SMF, at no cost to you, to earn a small commission when you click through and make a purchase. Let me know if you have any questions about this.
SmokingMeatForums.com is reader supported and as an Amazon Associate, we may earn commissions from qualifying purchases.
I had an accident up snowboarding yesterday. By the time I got home my ankle was swelling fast. the wife ran me down to the ortho clinic and sure enough i broke my leg - maybe in two places - on break is certain. Booted now, surgery Wednesday. getting some new titanium implants put in to hold everything it the right places. I think the doc said no weight bearing for at least 6 weeks. gonna miss wo month of the season, cooking is almost out of the question.

In an odd twist of fate - I had the same break on the same leg about 25 years ago. that one was much worse, it was super displaced and almost a compound fracture. spend 4 days in the hospital that time. this one is out patient and Im hoping they have better methods. the first surgery was the most pain i have ever felt.

Trying to recalibrate what I do but its hard. I usually do stuff all day...gym, dogs, cardio, snowboard and now on crutches and one leg.

just pissed, frustrated and sad.

Man, that stinks. Sorry about that. I hope you get past frustrated and sad to setting your mind to what has to be done for a speedy recovery.

You got this.

Murph
 
  • Like
Reactions: sandyut
Well at least it sounds like you were having fun when ya did it.


I was having fun when I broke my right tib/fib back in '04.
fracture%20blister%202002.jpg
incision%20Left%202002.jpg
pop%20goes%20the%20blister%202002.jpg
Xray%20plates%20and%20screws%202002.jpg
 
  • Like
Reactions: xray and sandyut
Damn Chile!!! How are we supposed to think about eating after seeing that????

Ok I’m over it, what was your first cook when you could again?
 
  • Like
Reactions: sandyut
Dave,

The doc's are getting better at this stuff....

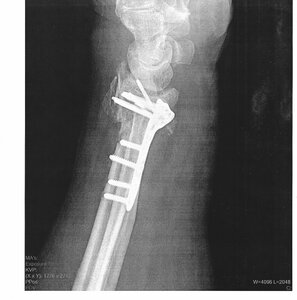
I hit the ER, 6/7/21, at about 10 AM and was released about 4 pm... NEVER felt a thing... A nerve block and general and I was GONE!!!!!! It never was painful... 12 weeks and the doc said I could remove the splint..
One thing that was amazing... When the hydrocodone wore off and ran out, all of my old pains returned... I asked for a refill and it was a definite NO !!!

Then I got the bill... ~ $24,000..... Thank you Medicare...




scan_20210622-2-jpg.jpg

scan_20210622-3-jpg.jpg
broken wrist         6-7-21.JPG


Nice stitch up huh???

DSCF0404 (2).JPG
 
Last edited:
  • Like
Reactions: xray and sandyut
That bites!!!
It might be time to find a new hobby, I gave up on dirt bikes when I broke both collar bones in an endo crash. I miss riding, but I don't miss crashing one bit, and if you ain't crashing you ain't really riding.

I started taking guitar lessons instead, not quite the same rush, though.:emoji_joy:

You'll find a way to keep cooking, I know I would.

Best wishes to you.
Dan.
 
  • Like
Reactions: sandyut
I all, thank you for all the support. That mean the world to me. I tend to tell people "it could be worse" and it sure could. Trying to remain hopeful and not sink into depression. At least there is no powder in forecast. if we get a big dumper while I'm laid up its gonna be a saucy day. At least to day we get two NFL games to watch. Already downloaded a new book and Im burning through it.

I'll try to post up after the surgery.
 
We are about to rollout for my pre-op COVID test and pick up the oxy.

Wish I was prepping anything for the smoker/grill or anything.
 
That Sucks, Sandy!!
Hope you heal up relatively quickly!!
My last hospital stay was 28 days, and TG for Medicare for paying the $600,000plus on that one. They used Stainless Steel to put my chest back together---Not Titanium, like is in my ankle.

Just take it easy---Starting up too soon isn't as good as some say.

Bear
 
  • Like
Reactions: sandyut
Sowsage Sowsage
Don't feel too bad, I'm being scheduled for shoulder surgery due to a torn labrum and etc.
Six (6) weeks with my right arm strapped to my side and then at least four to six months of PT.
I'm not gonna be cooking, or anything, for quite awhile.

Good luck with it my wife had it done and was very successful. just do as the dr. says and don't rest rush recovery.

Warren
 
You all are really good and really knowledgeable about smoking meats and alot of other areas...but I don't plan on getting into your new games...Who can collect the most iron in their bodies! :emoji_blush:

Ryan
 
I had an accident up snowboarding yesterday. By the time I got home my ankle was swelling fast. the wife ran me down to the ortho clinic and sure enough i broke my leg - maybe in two places - on break is certain. Booted now, surgery Wednesday. getting some new titanium implants put in to hold everything it the right places. I think the doc said no weight bearing for at least 6 weeks. gonna miss wo month of the season, cooking is almost out of the question.

In an odd twist of fate - I had the same break on the same leg about 25 years ago. that one was much worse, it was super displaced and almost a compound fracture. spend 4 days in the hospital that time. this one is out patient and Im hoping they have better methods. the first surgery was the most pain i have ever felt.

Trying to recalibrate what I do but its hard. I usually do stuff all day...gym, dogs, cardio, snowboard and now on crutches and one leg.

just pissed, frustrated and sad.
That stinks... Hope you heal up ASAP!

Hopefully you can still smoke!!!
 
SmokingMeatForums.com is reader supported and as an Amazon Associate, we may earn commissions from qualifying purchases.

Latest posts

Clicky